Fracturas do escafóide

O escafóide é um dos pequenos ossos do carpo localizados no punho, na base do polegar.
Desempenha um papel importante na mobilidade e na estabilidade do punho, ligando os ossos da parte distal (mais próxima da mão) e proximal (mais próxima do antebraço) do carpo.
Quem afecta?
Aproximadamente 80% das fracturas do escafóide ocorrem em homens, com maior incidência entre as idades de 20 e 30 anos. Estas fracturas representam cerca de 10% de todas as fracturas da mão.
Porque acontece?
Mais frequentemente, acontecem após uma queda sobre o punho esticado.
Sintomas
Os doentes apresentam geralmente dor bem localizada na articulação do punho, do lado do polegar. Além disso, podem ter uma diminuição na amplitude de movimentos e, em particular, uma capacidade reduzida de esticar totalmente o punho para trás (extensão do punho).
Por vezes, as queixas são muito discretas e é necessário um elevado grau de suspeição para chegar ao diagnóstico.
Exame clínico
  • É frequentemente observável um inchaço no punho, do lado do polegar.
  • Pode haver dor em redor do escafóide, tipicamente na chamada “tabaqueira anatómica”.
  • Pode ser observada uma limitação da amplitude de movimentos do punho.
A tabaqueira anatómica, local clássico de dor em fracturas do escafóide
A tabaqueira anatómica, local clássico de dor em fracturas do escafóide
Características especiais desta patologia
As fracturas podem ocorrer em qualquer parte do escafóide, mas a grande maioria ocorre no centro do osso (cintura). O local da fractura tem um impacto significativo no potencial de cicatrização. Fracturas pela cintura do escafóide têm melhores hipóteses de cicatrizar com o tratamento adequado (aproximadamente 85%). No entanto, fracturas no chamado “pólo proximal”, têm um risco maior de não cicatrizar, o que se deve ao suprimento sanguíneo mais pobre nessa área do osso.
Outros fatores de risco para o desenvolvimento de uma não-união (ou seja, a fractura não cicatrizar) são: atraso na apresentação, desvio significativo dos fragmentos da fractura e tabagismo.
Exames complementares
Radiografias simples são a forma mais comum de diagnosticar uma fractura do escafóide.
No entanto, as fracturas do escafóide ocasionalmente não aparecem na radiografia inicial e, nesse caso, se houver uma suspeita forte de fractura, é necessário fazer uma TAC e/ou uma ressonância magnética.
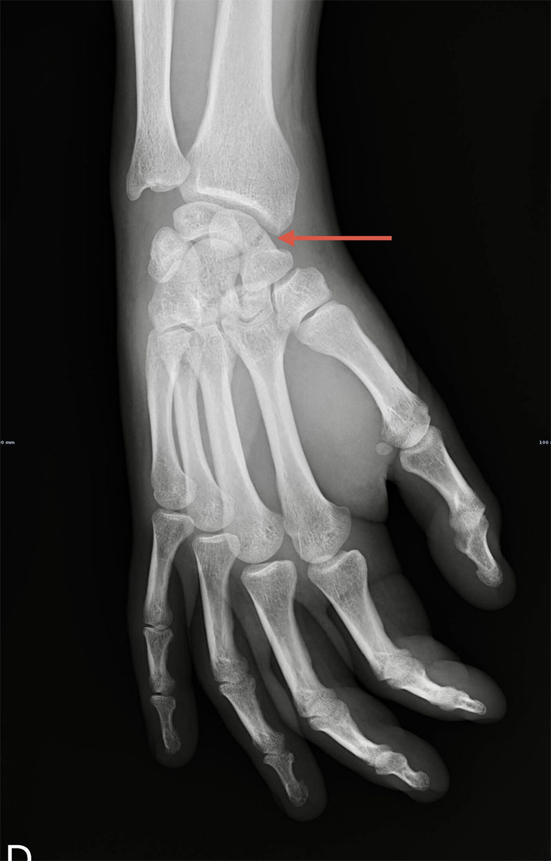
Raio-X demonstrando fractura do 1/3 médio do escafóide
Raio-X demonstrando fractura do 1/3 médio do escafóide
Tratamento conservador, não cirúrgico
Algumas fracturas do escafóide podem ser tratadas com algum tipo de imobilização. Estas são geralmente as fracturas do pólo distal, que têm elevado potencial de cicatrização e que não estejam desviadas (fora do lugar).
As fracturas desviadas (ou seja, em que os fragmentos da fractura estão fora do lugar), a esmagadora maioria das fracturas da cintura ou fracturas no chamado pólo proximal, têm um risco maior de não-união e são frequentemente tratadas cirurgicamente, para melhor e mais rápida recuperação.
As fracturas tratadas de forma não cirúrgica geralmente requerem imobilização prolongada e controlo seriado com raio-X ou TAC.
Tratamento cirúrgico
A cirurgia é realizada sob anestesia geral ou regional (apenas o braço é “adormecido”).
A cirurgia dura geralmente cerca de trinta minutos.
Na maior parte das vezes, é feita uma cirurgia minimamente invasiva (fixação percutânea), com uma cicatriz de 3 ou 4mm, para aplicar um parafuso dentro do osso. Esta técnica está associada a menor dor, menor perturbação da vascularização do escafóide e maior rapidez da cirurgia.
Pode também ser necessário realizar, no mesmo tempo, uma artroscopia do punho para confirmar a correcta posição do parafuso e para excluir que haja outras lesões associadas.
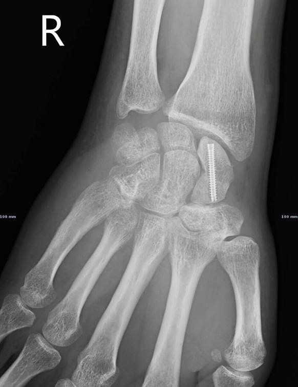
Time-lapse, em raio-X, da aplicação percutânea de um parafuso numa fractura do escafóide
Raio-X após fixação percutânea com parafuso de fractura do escafóide
Cicatrizes típicas de fixação percutânea do escafóide com artroscopia do punho associada
Reabilitação pós-operatória
Os doentes são normalmente imobilizados com uma tala amovível, para protecção, durante 2 a 3 semanas, dependendo da fractura e do seu tempo de evolução.
É permitido movimento precoce e a fisioterapia começa o mais rápido possível para recuperação da função da mão.
As fracturas de escafóide geralmente requerem seis a oito semanas para cicatrizar, fazendo-se raio-X ou TAC para o confirmar.
Regresso às actividades da vida diária
Doentes tratados cirurgicamente, especialmente com técnicas percutâneas, podem retomar a condução e muitas actividades da vida diária nos primeiros dias de pós-operatório.
Doentes tratados de forma não cirúrgica, com imobilização, estão altamente limitados para conduzir ou retomar outras actividades até à remoção da imobilização.
Regresso ao trabalho
Depende do contexto de trabalho de cada pessoa. O regresso ao trabalho manual pesado apenas pode acontecer após a cicatrização do osso. Tarefas leves podem ser toleradas nos primeiros dias.
Trabalho de escritório pode ser retomado rapidamente após uma cirurgia.
Complicações
A não-união (não cicatrização) é a principal complicação das fracturas do escafóide. Pode acontecer mesmo com fracturas adequadamente e atempadamente tratadas. É mais comum em fracturas do pólo proximal e naquelas com desvio dos fragmentos.
No geral, a taxa de não-união para fracturas do escafóide é cerca de 10%.
Uma não-união obriga normalmente a tratamento cirúrgico, para tentar impedir a evolução a longo prazo para uma artrose do punho.
O tratamento conservador com imobilização tem muito poucas complicações, excepto a maior probabilidade de não-união e de maior rigidez do punho e dedos.

Marcar consulta

Lisboa - Clínica Lambert
Almada - CUF Almada
Sintra - CUF Sintra
Marcar consulta em Lisboa        Almada        Sintra
©2024 Francisco Mercier - Todos os direitos reservados
Política de Privacidade |
Powered by DCC