Fracturas do rádio distal

As fracturas do rádio distal, o osso que percorre o antebraço do cotovelo até ao punho, do lado do polegar, são uma das fracturas mais comuns na zona do punho, ocorrendo muitas vezes após uma queda sobre a mão estendida.
Quem afecta?
As fracturas distais do rádio podem ocorrer em qualquer pessoa, mas tendem a ser mais comuns acima dos 50 anos e, em particular, nas pessoas com osteoporose. Em doentes jovens, tendem a ser o resultado de traumatismos de maior energia.
Porque acontecem?
Basta uma queda sobre o punho em extensão, mas qualquer queda com traumatismo do punho pode gerar diferentes padrões de fractura no rádio distal.
Sintomas
Dor, inchaço, deformidade e limitação da amplitude de movimentos do punho são os sintomas mais frequentes.
Por vezes, em fracturas mais simples, as queixas podem ser muito limitadas.
Exame clínico
Costuma ser fácil diagnosticar uma fractura do rádio distal. Os doente têm dor, inchaço, deformidade e limitação das amplitudes de movimentos do punho.
É importante avaliar a sensibilidade e vascularização da mão, bem como o funcionamento correcto dos dedos, para perceber se algum nervo, vaso ou tendão foi lesado com a fractura.
Exames complementares
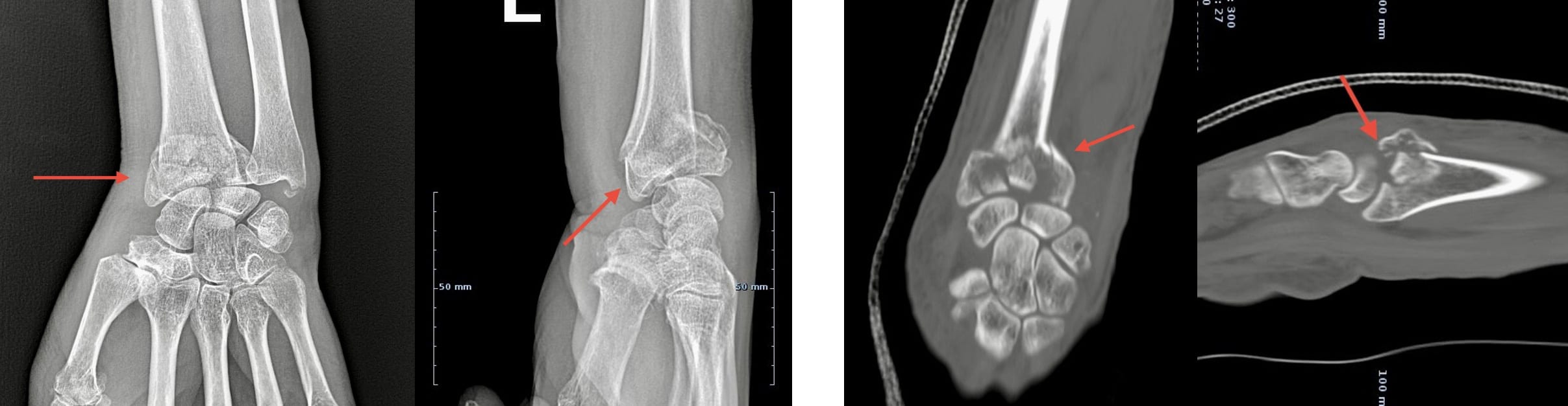
Raio-x simples são a base da avaliação das fracturas distais do rádio.
Frequentemente, para melhor caracterização das fracturas, é necessário fazer uma TAC, que geralmente revela em detalhe a posição dos fragmentos ósseos.
Raio-X e TAC de uma fractura multifragmentar complexa do rádio distal, com afundamento da superfície articular
Raio-X (esquerda) e TAC (direita) de uma fractura multifragmentar complexa do rádio distal, com afundamento da superfície articular
Tratamento conservador, não cirúrgico
Apenas fracturas simples e não desviadas do rádio distal são passíveis de tratamento não cirúrgico, com algum tipo de imobilização de punho.
Esta período de imobilização dura geralmente cerca de 6 semanas.
Tratamento cirúrgico
Tem havido uma tendência crescente para o tratamento cirúrgico das fracturas do rádio distal, das mais simples às mais complexas.

Em regra, este tratamento permite uma melhor e mais rápida recuperação já que se consegue repor mais correctamente a anatomia normal e, na maior parte dos casos, é permitido que haja movimento do punho imediatamente após a cirurgia, sem necessidade de imobilização.
Normalmente é aplicado algum tipo de placa e parafusos no rádio, o que garante a estabilidade da fractura e permite a já referida mobilização precoce.
É uma cirurgia feita em ambulatório, sem necessidade de internamento.
Caso haja envolvimento articular ou outras lesões associadas, pode ser necessário realizar, no mesmo tempo cirúrgico, uma artroscopia do punho, para visualizar o interior da articulação de forma minimamente invasiva.

Exemplo de raio-X pós-operatório demonstrando redução da fractura e a sua fixação com placa e parafusos
Imagem da superfície articular antes e após redução assistida por artroscopia
Imagem da superfície articular antes (à esquerda) e após (à direita) redução assistida por artroscopia
Reabilitação pós-operatória
Os doentes que foram operados com uma placa de geração moderna geralmente podem iniciar a mobilização do punho imediatamente após a cirurgia, a não ser que haja lesões associadas que obriguem a um período de imobilização.
A fisioterapia deve iniciar-se nos primeiros dias após a cirurgia.
Em 6 semanas a 3 meses, a maioria das fracturas estão totalmente recuperadas, variando de pessoa para pessoa e consoante o tipo de fractura ou a presença de outras lesões associadas.
Regresso às actividades da vida diária
O regresso a estas actividades é mais tardio quando a fractura não é operada, devido ao prolongado tempo de imobilização.
Após uma cirurgia, é normalmente permitido movimento e reabilitação imediatos, o que permite retomar a condução e o trabalho mais precocemente. Tudo depende, claro, da natureza do trabalho de cada pessoa e do ritmo de recuperação.
Complicações
As fracturas do rádio distal envolvem muitas vezes a articulação do punho, podendo predispor ao desgaste (artrose) da mesma.
Podem ocorrer rupturas de tendões que passam no punho, principalmente do tendão que faz esticar o polegar, o que pode obrigar a cirurgia adicional. Outros tendões podem, muito raramente, romper por atrito com a placa implantada.
O síndrome do túnel cárpico, em que os dedos da mão ficam dormentes e com formigueiros, pode ser agravado ou desencadeado por uma fractura, no imediato ou mais tardiamente, o que também pode levar a cirurgia adicional.
A cirurgia tem os seus próprios riscos específicos, incluindo infecções e problemas relacionados com o material implantado. No entanto, há um risco muito baixo de ocorrerem estas complicações.

Marcar consulta

Lisboa - Clínica Lambert
Almada - CUF Almada
Sintra - CUF Sintra
Marcar consulta em Lisboa        Almada        Sintra
©2024 Francisco Mercier - Todos os direitos reservados
Política de Privacidade |
Powered by DCC