Quisto mucoso

Um quisto mucoso é uma pequena bolsa cheia de muco que surge frequentemente na parte de trás da articulação distal do dedo, que é a última articulação antes da ponta do dedo, próxima da unha.
Está associado a alterações degenerativas nas articulações, como artrose, onde há desgaste da cartilagem e formação de esporões ósseos.
Quem afecta?
Mais frequentemente, mulheres com mais de 40 anos.
Porque acontece?
É um saco cheio de líquido, que aparece no dorso da articulação final do dedo (articulação interfalângica distal), perto da unha. Na maior parte dos casos, resulta de uma artrose (desgaste) dessa articulação. Essa artrose leva ao aparecimento de um “bico de papagaio” (osteófito, em termos médicos), um pequeno crescimento ósseo, que provoca o aparecimento do quisto.
Aspecto típico de um quisto, com a incisão planeada para a sua excisão.
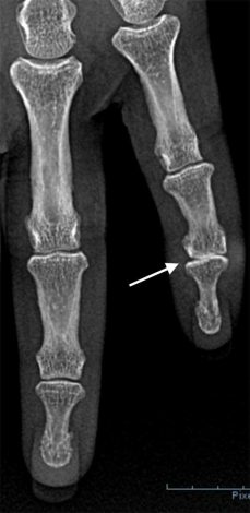
Raio-X demonstrando artrose da articulação interfalângica distal.
Sintomas e exame clínico
É visível um pequeno nódulo translúcido, mais ou menos volumoso. A pele sobre este nódulo pode ser fina e pode romper facilmente, drenando o conteúdo do quisto.
A articulação adjacente pode ter um volume aumentado e deformidade, pela artrose. Pode também haver dor à palpação, quer do quisto, quer da articulação.
A unha pode ter alguma deformidade pela pressão do quisto na matriz ungueal.
Sintomas e exame clínico
Um Rx é suficiente para avaliar se há uma artrose na articulação. Na maior parte dos casos, é visível um pequeno crescimento ósseo por baixo do quisto ("bico de papagaio"/osteófito).
Tratamento conservador, não cirúrgico
Se o quisto não incomoda, não necessita de tratamento.
Tratamento cirúrgico
Se o quisto incomodar, for volumoso ou até drenar ou infectar frequentemente, recomenda-se cirurgia.
A cirurgia é um procedimento feito em ambulatório, geralmente sob anestesia local e leva cerca de 10 minutos. É normalmente usado um garrote no dedo, em conjunto com um anestésico vasoconstritor para diminuir o sangramento durante a cirurgia.
O gânglio é normalmente removido em bloco, com a pele, e faz-se um retalho de deslizamento da pele para cobrir o defeito criado. Retira-se também o tal “bico de papagaio” por forma a tentar diminuir a probabilidade de recidiva.
A pele é suturada com um fio absorvível e é aplicado um pequeno penso.
Reabilitação pós-operatória
O doente pode ir para casa logo após a operação.
Os analgésicos prescritos geralmente controlam a dor no pós-operatório e devem ser iniciados após a alta.
A mão deve ser elevada, tanto quanto possível, durante os primeiros 5 dias, para prevenir o inchaço.
É estimulado o movimento imediato dos dedos e punho, apenas com algum cuidado no dedo operado.
O penso é normalmente trocado 2 ou 3 dias após a cirurgia, sendo necessários cuidados de penso até cerca das 2 semanas de pós-operatório.
As suturas geralmente são absorvíveis e não precisam ser retiradas.
Regresso às actividades da vida diária
Condução: a mão precisa de ter controlo total sobre o volante ou alavanca de mudanças. É aconselhável atrasar o regresso à condução até que se esteja livre de dor e se possa controlar um carro numa emergência, o que pode levar alguns dias.
Trabalho: depende do ambiente de trabalho de cada pessoa. O regresso ao trabalho manual pesado só se aconselha passadas cerca de 2 ou 3 semanas. Trabalho administrativo pode ser retomado imediatamente ou passados poucos dias da cirurgia.
Complicações
Em geral, mais de 95% dos doentes ficam totalmente satisfeitos com o resultado. Contudo, podem ocorrer complicações:
  • Recidiva: o quisto pode reaparecer, ou um novo quisto pode formar-se, uma vez que a articulação adjacente desgastada é a causa.
  • Lesão da unha: A unha está muito próxima do local do quisto. O próprio quisto pode causar pressão na unha e causar sulcos. A cirurgia pode danificar a unha e também causar crescimento anormal da mesma, mas é raro que tal aconteça.

Marcar consulta

Lisboa - Clínica Lambert
Almada - CUF Almada
Sintra - CUF Sintra
Marcar consulta em Lisboa        Almada        Sintra
©2024 Francisco Mercier - Todos os direitos reservados
Política de Privacidade |
Powered by DCC